Skip to content Skip to sidebar Skip to footer

Gegenstand Verschluckt Wie Lange

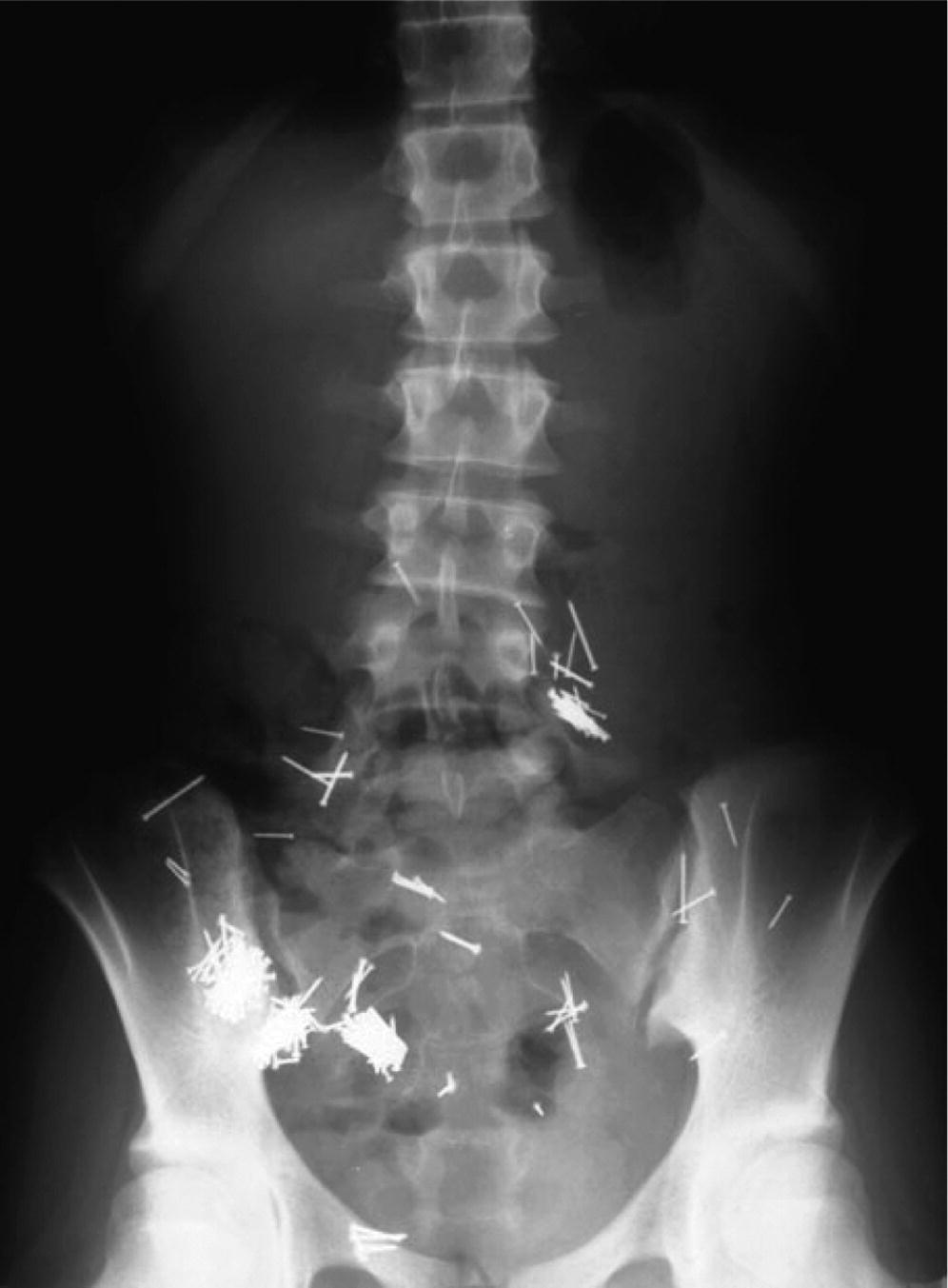
Fremdkorper Verschluckt Mta R De

Fremdkorper Verschluckt Mta R De

Gegenstand verschluckt wie lange. Verschlucken von kleinen runden Gegenständen ist oft harmlos. Mehr Info unter dhlde. Röntgen durchgeführt werden ob.

Bei Kindern die keine Symptome aufweisen und ein relativ ungefährliches Objekt verschluckt haben ist dies in der Regel nicht erforderlich. Gibt es irgendwelche Tricks das Teil sicher rauszuschleusen. Denn Schluckbeschwerden können auf bestimmte Krankheiten hindeuten.

Waren bei Freunden die beim Renovieren waren und da lag der wohl noch rum. Asked May 21 in Others by steini-platte 127k points Passiert Euch das auch manchmal dass Euch was runterfällt und der Gegenstand ist weg wie wenn er scih in Luft aufgelöst hat. Das verschluckte Objekt misst mehr als 25 Zentimeter.

Völlig anders ist die Situation bei Drogenkurieren die zum Beispiel Päckchen voller Kokain verschlucken. Gegenstand fällt runter und ist wie vom Erdboden verschluckt. Meine Tochter 16 Monate hat einen Nagel verschluckt am Sonntag.

Wäre nett wenn Ihr mir helfen könntet. Kirschkerne Münzen oder Knöpfe können sich schon mal ein paar Tage. Wie lange dauert es bis ein verschluckter Gegenstand wieder rauskommt Im Normalfall werden die verschluckten Gegenstände auf natürlichen Weg wieder ausgeschieden - sie gehen also problemlos durch.

Sie werden nach etwa 5 Tagen auf natürlichem Wege wieder mit dem Stuhl ausgeschieden. Wer sich öfters verschluckt sollte einen Arzt aufsuchen. Answered May 21 by.

Versuche mit den Fingern den Fremdkörper aus dem Maulbereich vor dem Schlucken zu entfernen. Dies gilt auch für lange.

Gegenstand Verschluckt Wann Muss Ich Zum Arzt Gehen

Gegenstand Verschluckt Wann Muss Ich Zum Arzt Gehen

Gegenstand Verschluckt Wann Muss Ich Zum Arzt Gehen

Gegenstand Verschluckt Wann Muss Ich Zum Arzt Gehen

Gegenstand Verschluckt Wann Muss Ich Zum Arzt Gehen

Gegenstand Verschluckt Wann Muss Ich Zum Arzt Gehen

Fremdkorper Im Magen Darm Trakt Schonend Entfernen

Fremdkorper Im Magen Darm Trakt Schonend Entfernen

Fremdkorper Im Verdauungstrakt Verdauungsstorungen Msd Manual Ausgabe Fur Patienten

Fremdkorper Im Verdauungstrakt Verdauungsstorungen Msd Manual Ausgabe Fur Patienten

Gegenstand Verschluckt Wann Muss Ich Zum Arzt Gehen

Gegenstand Verschluckt Wann Muss Ich Zum Arzt Gehen

Verschluckte Gegenstande Was Tun Gesundheit Sz De

Verschluckte Gegenstande Was Tun Gesundheit Sz De

Fremdkorper Verschluckt Und Lungenentzundung Ein Ratselhafter Patient Der Spiegel

Fremdkorper Verschluckt Und Lungenentzundung Ein Ratselhafter Patient Der Spiegel

Fremdkorper Verschluckt Mta R De

Fremdkorper Verschluckt Mta R De

Nicht Ungefahrlich Was Kinder Alles Verschlucken B Z Berlin

Nicht Ungefahrlich Was Kinder Alles Verschlucken B Z Berlin

Erste Hilfe Was Tun Wenn Das Kind Magneten Verschluckt Welt

Erste Hilfe Was Tun Wenn Das Kind Magneten Verschluckt Welt

Nicht Ungefahrlich Was Kinder Alles Verschlucken B Z Berlin

Nicht Ungefahrlich Was Kinder Alles Verschlucken B Z Berlin

Verschluckte Kleinteile Eltern Sollten Auf Notfalle Vorbereitet Sein Cleankids Magazin

Verschluckte Kleinteile Eltern Sollten Auf Notfalle Vorbereitet Sein Cleankids Magazin

Fremdkorper Im Verdauungstrakt Verdauungsstorungen Msd Manual Ausgabe Fur Patienten

Fremdkorper Im Verdauungstrakt Verdauungsstorungen Msd Manual Ausgabe Fur Patienten

Fremdkorper Verschluckt Und Lungenentzundung Ein Ratselhafter Patient Der Spiegel

Fremdkorper Verschluckt Und Lungenentzundung Ein Ratselhafter Patient Der Spiegel

Nicht Ungefahrlich Was Kinder Alles Verschlucken B Z Berlin

Nicht Ungefahrlich Was Kinder Alles Verschlucken B Z Berlin

Medizinische Fakultat Universitatsklinikum Magdeburg A O R Wenn Kinder Gegenstande Verschlucken

Medizinische Fakultat Universitatsklinikum Magdeburg A O R Wenn Kinder Gegenstande Verschlucken

Munze Verschluckt 3 Jahrige Durch Not Op Gerettet

Munze Verschluckt 3 Jahrige Durch Not Op Gerettet

In Die Notaufnahme Eingeliefert Kind Verschluckt Metall Frosch

In Die Notaufnahme Eingeliefert Kind Verschluckt Metall Frosch

Aspiration Medizin Wikipedia

Aspiration Medizin Wikipedia

Hund Verschluckt Fremdkorper Spaziergang Mit Gefahrlichem Ausgang

Hund Verschluckt Fremdkorper Spaziergang Mit Gefahrlichem Ausgang

Fremdkorper Verschluckt Mta R De

Fremdkorper Verschluckt Mta R De

Fremdkorperingestionen Bei Kindern Und Jugendlichen Springerlink

Fremdkorperingestionen Bei Kindern Und Jugendlichen Springerlink

1

1

Fallbericht Tierarzt Katze Frisst Nadel Warum Verschluckte Gegenstande Gefahrlich Sind Anicura Deutschland

Fallbericht Tierarzt Katze Frisst Nadel Warum Verschluckte Gegenstande Gefahrlich Sind Anicura Deutschland

Wenn Kinder Gegenstande Verschlucken

Wenn Kinder Gegenstande Verschlucken

Verschluckte Fremdkorper Bei Erwachsenen

Verschluckte Fremdkorper Bei Erwachsenen

Notfall Verschlucken Ist Mein Baby Krank Medizinisches Baby Swissmom Ch

Notfall Verschlucken Ist Mein Baby Krank Medizinisches Baby Swissmom Ch

Verschluckte Gegenstande Sofortmassnahmen Erste Hilfe Kinderaerzte Im Netz

Verschluckte Gegenstande Sofortmassnahmen Erste Hilfe Kinderaerzte Im Netz

Fallbericht Tierarzt Katze Frisst Nadel Warum Verschluckte Gegenstande Gefahrlich Sind Anicura Deutschland

Fallbericht Tierarzt Katze Frisst Nadel Warum Verschluckte Gegenstande Gefahrlich Sind Anicura Deutschland

Notfall Hund Verschluckt Fremdkorper

Notfall Hund Verschluckt Fremdkorper

Verschluckte Gegenstande Was Tun Gesundheit Sz De

Verschluckte Gegenstande Was Tun Gesundheit Sz De

Wann Muss Der Fremdkorper Raus

Wann Muss Der Fremdkorper Raus

Erste Hilfe Was Tun Wenn Das Kind Magneten Verschluckt Welt

Erste Hilfe Was Tun Wenn Das Kind Magneten Verschluckt Welt

Fremdkorper Wikipedia

Fremdkorper Wikipedia

Fremdkorper Verschluckt Padiatrie Georg Thieme Verlag

Fremdkorper Verschluckt Padiatrie Georg Thieme Verlag

Alltag Umwelt Verschluckte Gegenstande Besser Gleich Abklaren Lassen Puls Srf

Alltag Umwelt Verschluckte Gegenstande Besser Gleich Abklaren Lassen Puls Srf

Erste Hilfe Beim Verschlucken Netdoktor

Erste Hilfe Beim Verschlucken Netdoktor

Was Tun Bei Verschluckten Gegenstanden Frag Mutti

Was Tun Bei Verschluckten Gegenstanden Frag Mutti

Galerie Der Abstrusen Gegenstande Im Magen Darm Trakt Klinik Via Medici

Galerie Der Abstrusen Gegenstande Im Magen Darm Trakt Klinik Via Medici

Verschluckte Fremdkorper Bei Erwachsenen

Verschluckte Fremdkorper Bei Erwachsenen

Mein Baby Hat Was Verschluckt Letsfamily

Mein Baby Hat Was Verschluckt Letsfamily

Wenn Hunde Dinge Verschlucken Gesundheitszentrum Fur Kleintiere

Wenn Hunde Dinge Verschlucken Gesundheitszentrum Fur Kleintiere

Wenn Kinder Fremdkorper Verschlucken Gesundheitsstadt Berlin

Wenn Kinder Fremdkorper Verschlucken Gesundheitsstadt Berlin

Nicht Ungefahrlich Was Kinder Alles Verschlucken B Z Berlin

Nicht Ungefahrlich Was Kinder Alles Verschlucken B Z Berlin

Wenn Hunde Dinge Verschlucken Gesundheitszentrum Fur Kleintiere

Wenn Hunde Dinge Verschlucken Gesundheitszentrum Fur Kleintiere

Verschluckter Kronenblock Fuhrte Zum Tod Zm Online

Verschluckter Kronenblock Fuhrte Zum Tod Zm Online

So Helfen Sie Ihrem Kind Wenn Es Einen Fremdkorper Verschluckt Hat Elternwissen Com

So Helfen Sie Ihrem Kind Wenn Es Einen Fremdkorper Verschluckt Hat Elternwissen Com

Https Encrypted Tbn0 Gstatic Com Images Q Tbn And9gcsggsruj 1z5cb9twlt5xoi9fqyrnhk12nsk1nvn9xhzpwltwvv Usqp Cau

Https Encrypted Tbn0 Gstatic Com Images Q Tbn And9gcsggsruj 1z5cb9twlt5xoi9fqyrnhk12nsk1nvn9xhzpwltwvv Usqp Cau

Nicht selten werden dabei Gegenstände verschluckt.

Der Preis richtet sich nach Größe und Gewicht dazu kommt ein Sperrgutzuschlag von 2250 Euro. Answered May 21 by. Dies gilt auch für lange. Das verschluckte Objekt misst mehr als 25 Zentimeter. Bekommt man die Dinge in einen Koffer kann man sie auch als Reisegepäck verschicken. Dazu gehören Verengungen in der Speiseröhre aber auch die Parkinson -Krankheit oder Tumoren. Wenn mehrere Magneten oder ein Magnet mit einem Metallteil verschluckt werden muss man sie sofort entfernen. Hinzugefügt in World of Warcraft. Bei Kindern die keine Symptome aufweisen und ein relativ ungefährliches Objekt verschluckt haben ist dies in der Regel nicht erforderlich.


Der Preis richtet sich nach Größe und Gewicht dazu kommt ein Sperrgutzuschlag von 2250 Euro. Wenn mehrere Magneten oder ein Magnet mit einem Metallteil verschluckt werden muss man sie sofort entfernen. Ob und wie schnell eine medizinische Intervention nötig ist hängt in erster Linie von der Art des Gegenstandes ab vom Ort an dem er stecken. Dies gilt auch für lange. Hinzugefügt in World of Warcraft. Wie lange dauert es bis ein verschluckter Gegenstand wieder rauskommt Im Normalfall werden die verschluckten Gegenstände auf natürlichen Weg wieder ausgeschieden - sie gehen also problemlos durch. Wäre nett wenn Ihr mir helfen könntet.

Post a Comment for "Gegenstand Verschluckt Wie Lange"