Skip to content Skip to sidebar Skip to footer

Miserable Malalignment Syndrome Surgery

The Miserable Malalignment An Uncommon Diagnosis Alyssa Santo Design

The Miserable Malalignment An Uncommon Diagnosis Alyssa Santo Design

Miserable malalignment syndrome surgery. The authors identified and retrospectively reviewed 14 consecutive patients with 27 limbs associated with excessive femoral anteversion excessive tibial outward. Posts about miserable malalignment syndrome written by sbeorg. A condition defined as external tibial torsion with femoral anteversion.

On her visit to Dr. Miserable malalignment syndrome MMS is a term used to describe a triad of anatomic findingsexcessive femoral anteversion inward rotation of the knee relative to the hip increased knee Q angle alignment that creates an outward pull on the knee Miserable malalignment syndrome MMS. Treating rotational deformity generally entails the use of several different osteotomy procedures.

Orthopaedic Surgeon Corrects Rare Leg Deformity Called Miserable Malalignment Syndrome. This study investigates the results of surgical correction of miserable malalignment syndrome associated with significant patellofemoral pain. Surgery is reserved for children older than 8 years of age with external tibial torsion greater than three standard deviations above the mean 40 degrees external.

Miserable malalignment syndrome MMS is a term used to describe a triad of anatomic findingsexcessive femoral anteversion inward rotation of the knee relative to the hip increased knee Q angle alignment that creates an outward pull on the kneecap by the connecting tendons and external tibial torsion outward rotation of the legwhich are more frequently found in females and are. One thing i didnt want to do when writing a blog is post a lot within the first few weeks post-surgically and not update 3 months 6 months even a year later with how im doing. Miserable malalignment syndrome is an incurable genetic condition says Wray.

The NovemberDecember issue of Massage and Bodywork magazine concludes the two-part series I wrote on miserable malalignment syndrome MMS click here to view the articleTo recap MMS involves a series of interrelated biomechanical dysfunctions throughout the lower extremity kinetic chain including. While many children grow out of their femoral anteversion conditions excessive anteversion may require surgical correction as a procedure known as a femoral osteotomy. The malalignment syndrome is characterized by the following features.

Miserable Malalignment Syndrome is a term used to describe a set of anatomical changes to the legs that cause knee pain and instability. Anterior knee pain is one of the more frustrating problems that orthopaedic surgeons treat. If playback doesnt begin shortly try restarting your device.

I was diagnosed with Miserable Malalignment Syndrome when I was a 11 years old. Haasbeek she found out what she was dealing with.

Miserable Malalignment Treatment At Synergy Rehab Inc

Miserable Malalignment Treatment At Synergy Rehab Inc

Miserable Malalignment Syndrome Knee Malalignment Syndrome Orthopedic Knee Specialist Manhattan New York City Ny

Miserable Malalignment Syndrome Knee Malalignment Syndrome Orthopedic Knee Specialist Manhattan New York City Ny

Miserable Malalignment Syndrome Youtube

Miserable Malalignment Syndrome Youtube

Years Of Extreme Leg Pain Mystified Doctors Until Montreal Surgeon Diagnosed Miserable Malalignment Cbc News

Years Of Extreme Leg Pain Mystified Doctors Until Montreal Surgeon Diagnosed Miserable Malalignment Cbc News

Combined Techniques For The Safe Correction Of Very Large Tibial Rotational Deformities In Adults Tetsworth Kd Thorsell Jd J Limb Lengthen Reconstr

Combined Techniques For The Safe Correction Of Very Large Tibial Rotational Deformities In Adults Tetsworth Kd Thorsell Jd J Limb Lengthen Reconstr

Orthopaedic Surgeon Corrects Rare Leg Deformity Called Miser

Orthopaedic Surgeon Corrects Rare Leg Deformity Called Miser

Combined Techniques For The Safe Correction Of Very Large Tibial Rotational Deformities In Adults Tetsworth Kd Thorsell Jd J Limb Lengthen Reconstr

Combined Techniques For The Safe Correction Of Very Large Tibial Rotational Deformities In Adults Tetsworth Kd Thorsell Jd J Limb Lengthen Reconstr

Bilateral Double Osteotomy In Severe Torsional Malalignment Syndrome 16 Years Follow Up Journal Of Orthopaedics And Traumatology Full Text

Bilateral Double Osteotomy In Severe Torsional Malalignment Syndrome 16 Years Follow Up Journal Of Orthopaedics And Traumatology Full Text

Femoral Derotational Osteotomies Abstract Europe Pmc

Femoral Derotational Osteotomies Abstract Europe Pmc

Bilateral Double Osteotomy In Severe Torsional Malalignment Syndrome 16 Years Follow Up Journal Of Orthopaedics And Traumatology Full Text

Bilateral Double Osteotomy In Severe Torsional Malalignment Syndrome 16 Years Follow Up Journal Of Orthopaedics And Traumatology Full Text

A Case Of Excessive Femoral Anteversion Which Caused Instability Of The Medial Collateral Ligament Of The Knee Joint Sciencedirect

A Case Of Excessive Femoral Anteversion Which Caused Instability Of The Medial Collateral Ligament Of The Knee Joint Sciencedirect

Can Miserable Malalignment Be Fixed Quickly

Can Miserable Malalignment Be Fixed Quickly

Pdf Bilateral Double Osteotomy In Severe Torsional Malalignment Syndrome 16 Years Follow Up Semantic Scholar

Pdf Bilateral Double Osteotomy In Severe Torsional Malalignment Syndrome 16 Years Follow Up Semantic Scholar

Miserable Malalignment Syndrome Academy Of Clinical Massage

Miserable Malalignment Syndrome Academy Of Clinical Massage

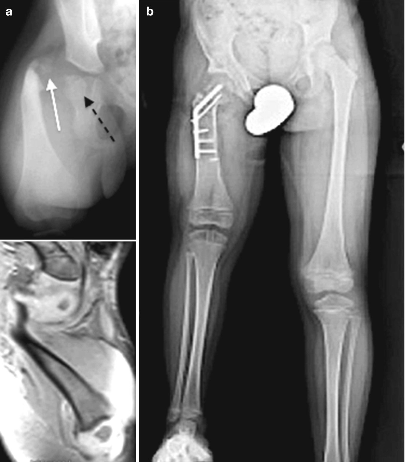
Case 119 Adolescent With Bilateral Femoral And Tibial Rotational Deformity Miserable Malalignement Syndrome Combined With Proximal Tibial Varus And Recurvatum Springerlink

Case 119 Adolescent With Bilateral Femoral And Tibial Rotational Deformity Miserable Malalignement Syndrome Combined With Proximal Tibial Varus And Recurvatum Springerlink

Combined Techniques For The Safe Correction Of Very Large Tibial Rotational Deformities In Adults Tetsworth Kd Thorsell Jd J Limb Lengthen Reconstr

Combined Techniques For The Safe Correction Of Very Large Tibial Rotational Deformities In Adults Tetsworth Kd Thorsell Jd J Limb Lengthen Reconstr

2

2

Miserable Malalignment Syndrome Just Sparkle

Miserable Malalignment Syndrome Just Sparkle

My Story Wonky Mak Mms

My Story Wonky Mak Mms

Patellofemoral Pain Musculoskeletal Key

Patellofemoral Pain Musculoskeletal Key

Malalignment Syndrome Podiatry Orthopedics Physical Therapy

Malalignment Syndrome Podiatry Orthopedics Physical Therapy

Bilateral Double Osteotomy In Severe Torsional Malalignment Syndrome 16 Years Follow Up Journal Of Orthopaedics And Traumatology Full Text

Bilateral Double Osteotomy In Severe Torsional Malalignment Syndrome 16 Years Follow Up Journal Of Orthopaedics And Traumatology Full Text

Rotational Deformity Malalignment Disorder Sanders Clinic Houston

Rotational Deformity Malalignment Disorder Sanders Clinic Houston

1

1

20 Miserable Malalignment Ideas Muscle Anatomy Anatomy Flashcards It Band

20 Miserable Malalignment Ideas Muscle Anatomy Anatomy Flashcards It Band

2

2

The Power Of Transverse Plane Limb Mal Alignment In The Genesis Of Anterior Knee Pain Clinical Relevance Teitge Annals Of Joint

The Power Of Transverse Plane Limb Mal Alignment In The Genesis Of Anterior Knee Pain Clinical Relevance Teitge Annals Of Joint

Miserable Malalignment A Squinting Patellae When The Patient Is Download Scientific Diagram

Miserable Malalignment A Squinting Patellae When The Patient Is Download Scientific Diagram

Miserable Malalignment Syndrome Academy Of Clinical Massage

Miserable Malalignment Syndrome Academy Of Clinical Massage

Pin On Orthopedic Injury Of The Knee

Pin On Orthopedic Injury Of The Knee

Malalignment Syndrome Lower Limb Specialist Centre

Malalignment Syndrome Lower Limb Specialist Centre

Figure 2 From Operative Treatment Of Patellofemoral Maltracking With Torsional Osteotomy Semantic Scholar

Figure 2 From Operative Treatment Of Patellofemoral Maltracking With Torsional Osteotomy Semantic Scholar

Malalignment Syndrome Podiatry Orthopedics Physical Therapy

Malalignment Syndrome Podiatry Orthopedics Physical Therapy

Patellofemoral Disorders Correction Of Rotational Malalignment Of The Lower Extremity Musculoskeletal Key

Patellofemoral Disorders Correction Of Rotational Malalignment Of The Lower Extremity Musculoskeletal Key

Kiki Soloviev Miserable Malalignment Youtube

Kiki Soloviev Miserable Malalignment Youtube

Malalignment Syndrome Lower Limb Specialist Centre

Malalignment Syndrome Lower Limb Specialist Centre

Xnf4kdwris8gqm

Xnf4kdwris8gqm

Miserable Malalignment Syndrome Just Sparkle

Miserable Malalignment Syndrome Just Sparkle

Retrograde Intramedullary Nail Fixation For Derotational Femoral Osteotomy For Recurrent Femoropatellar Instability

Retrograde Intramedullary Nail Fixation For Derotational Femoral Osteotomy For Recurrent Femoropatellar Instability

Torsional Angular And Deficiency Disorders Of The Lower Extremity Springerlink

Torsional Angular And Deficiency Disorders Of The Lower Extremity Springerlink

Ortho Exam 4 Flashcards Quizlet

Ortho Exam 4 Flashcards Quizlet

2

2

Rotational Deformity Miserable Malalignment Kneeguru

Rotational Deformity Miserable Malalignment Kneeguru

Miserable Malalignment Syndrome Just Sparkle

Miserable Malalignment Syndrome Just Sparkle

Bilateral Double Osteotomy In Severe Torsional Malalignment Syndrome 16 Years Follow Up Journal Of Orthopaedics And Traumatology Full Text

Bilateral Double Osteotomy In Severe Torsional Malalignment Syndrome 16 Years Follow Up Journal Of Orthopaedics And Traumatology Full Text

What Is Malalignment Syndrome Mass4d Insoles Mass4d Foot Orthotics

What Is Malalignment Syndrome Mass4d Insoles Mass4d Foot Orthotics

The Miserable Malalignment An Uncommon Diagnosis Alyssa Santo Design

The Miserable Malalignment An Uncommon Diagnosis Alyssa Santo Design

Lonnie E Paulos Md Medical Director The Andrews Paulos Research Education Institute Gulf Breeze Fl Ppt Download

Lonnie E Paulos Md Medical Director The Andrews Paulos Research Education Institute Gulf Breeze Fl Ppt Download

1

1

The NovemberDecember issue of Massage and Bodywork magazine concludes the two-part series I wrote on miserable malalignment syndrome MMS click here to view the articleTo recap MMS involves a series of interrelated biomechanical dysfunctions throughout the lower extremity kinetic chain including.

Miserable malalignment syndrome is an incurable genetic condition says Wray. While many children grow out of their femoral anteversion conditions excessive anteversion may require surgical correction as a procedure known as a femoral osteotomy. This study investigates the results of surgical correction of miserable malalignment syndrome associated with significant patellofemoral pain. Posts about miserable malalignment syndrome written by sbeorg. Haasbeek she found out what she was dealing with. On her visit to Dr. Miserable Malalignment Syndrome is a term used to describe a set of anatomical changes to the legs that cause knee pain and instability. A condition defined as external tibial torsion with femoral anteversion. Secondly is an inward facing patella kneecap which is referred to as a winking patella.


A broad pelvis a large Q angle femoral anteversion along with a squinting. Correction of miserable malalignment. Jan 3 2020 - Bilateral femoral and Tibial osteo. I was diagnosed with Miserable Malalignment Syndrome when I was a 11 years old. A condition defined as external tibial torsion with femoral anteversion. On her visit to Dr. Posts about miserable malalignment syndrome written by sbeorg.

Post a Comment for "Miserable Malalignment Syndrome Surgery"